İlk ayak parmağındaki Valgus deformitesi çoğunlukla olgun yaştaki kadınları etkiler, ancak aynı zamanda erkekleri de etkiler. Başparmağın deforme olmuş tabanı estetik açıdan hoş görünmüyor. Bu durumda kişi fiziksel rahatsızlık hisseder ve ileri aşamada ağrı hisseder. Ayak başparmağının sapması, ayaktaki eşit olmayan vücut yükünün sonucudur. Bu tür değişikliklerin ayaklar ve diğer parmaklar üzerinde zararlı etkisi vardır.
Eğriliğin nedenleri

Halluks valgus görünürde bir sebep yokken ortaya çıkmaz. Bu patoloji çeşitli nedenlerin etkisi altında ortaya çıkar ve gelişir. Halluks valgus çoğunlukla genetik olarak bu hastalığa yatkın olan kişileri etkiler. Doktorlar 1 ayak parmağındaki deformitenin aşağıdaki nedenlerine dikkat çekiyor:
- Aşırı vücut ağırlığı.
- Endokrin hastalıkları.
- Osteoporoz.
- Düz ayaklar.
- Şeker hastalığı.
- Sedef hastalığı.
- Artrit.
- Hamilelik ve yaşlılık sırasında hormonal değişiklikler.
- Dar ayakkabılar giymek.
- Mesleğin özgüllüğü, bir kişiyi her gün bacaklarında artan fiziksel aktiviteye katlanmaya zorlamaktadır.
Aşamalar ve çeşitleri
Doktorlar hastalığın ilerlemesinin 3 aşamasını göz önünde bulundurur:
- Hafif valgus sapması. Ciltte kızarıklık ve küçük sıyrıklar görülür. Yürürken rahatsızlık.
- Başparmakta bir büyüme zaten açıkça görülüyor. Şişlik ve ağrı görülür.
- Hastalığın bu formunun ilerlemiş olduğu kabul edilir. Bir kişi, ayak başparmağının ve tüm ayağın sürekli dayanılmaz ağrısından ve keratinize cildin görünümünden rahatsız olur. Ağrı uyku sırasında bile geçmiyor.
Hoş olmayan halluks valgusun gelişimi birçok faktörden etkilenir. Uzmanlar aşağıdaki parmak deformitelerini ayrı bir kategori olarak tanımlamıştır:
- Geçiş deformitesi. Eğrilik farklı yönlerde meydana gelir. Parmaklar birbirini geçer.
- Eklemlerin her zaman bükük konumda kalacak kadar eğriliği. Patolojinin gelişiminin ilk aşamasında parmaklar ellerin yardımıyla düzleşmeye zorlanabilir. Tedaviye bu zamanda başlanmazsa parmaklar o kadar sertleşir ki artık onları ellerinizle düzeltemezsiniz. Artık ameliyatsız yapmak imkansız.
- Taylor'ın deformitesi. Küçük parmakları etkileyen patoloji. Kemiklerde bir büyümenin ortaya çıkmasıyla karakterize edilir.
- Kancalara benzeyen falanjların eğriliği.

Uzmanlar halluks valgusa yakalanma riski taşıyan balerinleri de içeriyor. Ayak parmaklarınızın üzerinde dans etmek ayak parmaklarınıza daha fazla baskı uygular ve bu da onların eğriliğine yol açar. Yanlış yürüyüş de istenmeyen sonuçlara neden olabilir. Kışkırtıcı faktörler yaşa göre bile ağırlaşır.
Teşhis yöntemleri
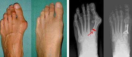
Eğer görsel muayene ve röntgenlerden sonuç alınamazsa hasta olası düztabanlığın tespiti için plantografiye yönlendirilir. Bu yöntem, hasta için ortopedik özelliklere sahip ayakkabı veya tabanlıkların yapıldığı ayak izlerinin alınmasını içerir. Daha sonra hastaya podometri reçete edilir. Bu yöntem, bir kişinin ağırlığının ayaklar üzerindeki basıncını belirlemek için bilgisayar analizini kullanır. Gelişmiş teşhisin sonuçları, birinci ve ikinci ayak parmağının eğriliği için bir tedavi yöntemi seçmenin temelini oluşturur.
X-ışını muayenesinin dezavantajı, birçok hastanın hoşlanmadığı hastanın bacaklarının ışınlanması gereğidir. Bunun çok zararlı bir yöntem olduğunu düşünüyorlar. Bu bakımdan halluks valgusun etkin tedavisine plantografi sonuçları alınmadan başlanamaz.

Bu en iyi bilgilendirici teşhis yöntemidir. Onun yardımıyla doktor sadece düz ayakların varlığını değil aynı zamanda ayak kemerlerinin durumunu da belirler. Düztabanlığı tespit etmenin en etkili yolu bilgisayar muayenesidir.
Ayak başparmağı ve küçük ayak parmağının valgusunu tanımlamanın ilk aşamasında doktor görsel bir muayene yapar. Bu sayede patolojinin gelişim aşamasını belirler. Eklemlerdeki ayrıntılı değişiklikleri tespit etmek için röntgen ve plantografi reçete edilir.
İlaç tedavisi
Patolojinin gelişiminin son aşaması ortaya çıkmadan önce ayağın yanı sıra ayak başparmağının da nazik tedavisine başlamak daha iyidir. Uzmanlar bu patolojinin nasıl tedavi edileceğini biliyor ancak hastalığın ilerlemiş formunun cerrahi müdahale olmadan nasıl tedavi edileceğini bilmiyorlar. İlk olarak doktorlar parmakların eğriliğinin nedenini ve karmaşık faktörlerin varlığını belirler. Bilindiği gibi ilaç tedavisinin görevi semptomatik tedaviyi de içermektedir. Bu, ağrının, iltihabın ve şişliğin ortadan kalktığı anlamına gelir.
Çoğu zaman hastalara steroidal olmayan antiinflamatuar ilaçlar reçete edilir. Ana fonksiyonlarının yanı sıra ağrıyı ve ateşi azaltırlar. Komplikasyonlar ortaya çıktığında sıklıkla hormonal kortikosteroidler reçete edilir. Parmakların deformasyonu iç organ hastalıklarından kaynaklanıyorsa, altta yatan patoloji tedavi edildikten sonra eklemler düzeltilebilir. Bu durumda endokrinologlar diğer son derece uzmanlaşmış uzmanlarla birlikte soruna dahil olurlar. Pek çok insan, halk ilaçlarını kullanarak kendilerini iyileştirmeye çalışır ve bunun yalnızca patolojinin gelişiminin ilk aşamasında mümkün olduğunu unutur.
Patoloji ilk aşamada fark edilirse, çarpık başparmak, ortopedik özelliklere sahip plastik veya silikon pedler yardımıyla cihazlar yardımıyla düzeltilir. Tedavi sırasında yumuşak, ferah ayakkabılar giymelisiniz. Çarpık parmakları düzeltmek için ortopedik tabanlık, kemer destekleri ve diğer düzelticiler kullanılır. Deforme olmuş parmaklar özel atel, halka, başlık ve taraklarla sabitlenir. Bu tür cihazların yardımıyla parmaklar doğru pozisyonda sabitlenir. Ortopedik fiksatörler sayesinde parmaklarda daha fazla deformasyon gelişmesi durur.
Halluks valgus tedavisinin iki yolu vardır. Birincisi şekil bozukluğunun cerrahi müdahale ve rehabilitasyon gerektirmeden ağrısız olarak düzeltilmesi, ikincisi ise ameliyatla tedavidir.
Cerrahi tedavi yöntemleri

Halluks valgusun tamamen iyileşmesi ancak cerrahın neşteri yardımıyla mümkündür. Bazen tek bir ameliyat yeterli olur ve hasta sorunu sonsuza kadar unutur. Doktor halluks valgus deformitesinin tipini dikkate alarak cerrahi müdahale yapar. En yaygın operasyon türleri şunlardır:
- Ekzostektomi. Metatarsal kemiğin sadece belirli bir kısmı çıkarılır.
- Rezeksiyon artroplastisi. Metatarsal kemiğin uç kısmı çıkarılır.
- Osteotomi. Metatarsal kemiğin yanı sıra falanksın küçük bir elemanını çıkarmak için kullanılır.
- Rezeksiyon. Operasyonun amacı etkilenen yumuşak dokuların çıkarılması ve daha sonra sağlıklı dokuların yerlerine nakledilmesidir.
- Artrodez. Eklemlerin zorla hareketsiz kalmasını sağlar.
- Distal osteotomi. Operasyon eklemler arasındaki açının azaltılmasını içerir.
- Ayak başparmağının iltihaplı bursasının çıkarılması.
- İmplantların kurulumu.
Ameliyat sonrası rehabilitasyon süresi yedi haftaya kadar sürebilir. Bu birkaç hafta boyunca genellikle özel önleyici tedbirler alınır. Her şeyden önce bunlar aşağıdakileri teşvik eden terapötik egzersizlerdir:
- sağlık durumunun iyileştirilmesi;
- yürürken ağrıyı azaltmak;
- bacak kaslarının tonunu arttırmak;
- deforme olmuş bağlantının doğal pozisyonunda montajı ve sabitlenmesi.
Rehabilitasyon süresinin süresi çoğunlukla operasyonun ne kadar karmaşık olduğuna bağlıdır. İyileşmeyi hızlandırmak için ertesi gün parmaklarınızı hareket ettirmeye başlamalısınız. Bir hafta sonra hasta ayağa kalkabilir ve önlem alarak yavaş hareket edebilir. Önemli olan uzun süreli stresten kaçınmaktır.
Operasyon sonrasında kaliteli, yumuşak ve ferah ayakkabılara ihtiyacınız olacaktır. Doktor tavsiyesi üzerine satın alınır. Bu arada, halluks valgus gelişiminin en başında terapötik egzersizler yapmaya başlarsanız, sadece cerrahi müdahale olmadan değil, aynı zamanda çeşitli cihazlara, merhemlere ve ilaçlara para harcamadan da yapabilirsiniz.
Uzmanlar, cerrahi tedavi seçeneğinin neredeyse yüzde yüz olumlu sonuç verdiğini söylüyor. Bu nazik tedavi yöntemi anestezi gerektirmez ve strese ya da psikolojik sıkıntıya neden olmaz. Ancak ağrısız tedavi yöntemleri kişiyi hastalığın son aşamasından kurtaramamaktadır.
Önleyici tedbirler

Önleyici tedbirler oldukça basittir - geniş burunlu, içi ayak parmaklarına baskı yapmayan rahat ayakkabılar giymek. Özellikle eklemler ve genel olarak ayaklar, insanın büyümesi sırasında biriken ağırlığa zarar vermeden dayanabilmektedir. Bu nedenle obeziteyi önlemek için vücut ağırlığınızı takip etmeniz çok önemlidir.
Etkili önleyici egzersizlerden biri şu şekildedir: Bir sandalyede ayakları yerde oturan bir kişi parmaklarını kullanarak hareket ettirir.
Bir sonraki egzersiz, dönüşümlü olarak ayak parmaklarınız ve topuklarınız üzerinde yerde çıplak ayakla yürümeyi içerir.
Basit jimnastikte hızlı bir şekilde ustalaşılır, bu da daha karmaşık fiziksel egzersizlere yol açar. Daha sonra yerden bir kalem veya başka bir nesneyi almak gibi eylemler gerçekleştirebilirsiniz.
Etkili bir tedavi seçimi konusunda doktor tavsiyeleri almak için tıbbi kurumlarda daha sonra kuyrukta beklemektense başparmak deformasyonunu önlemek daha iyidir.























